Skolyoz Ortezi
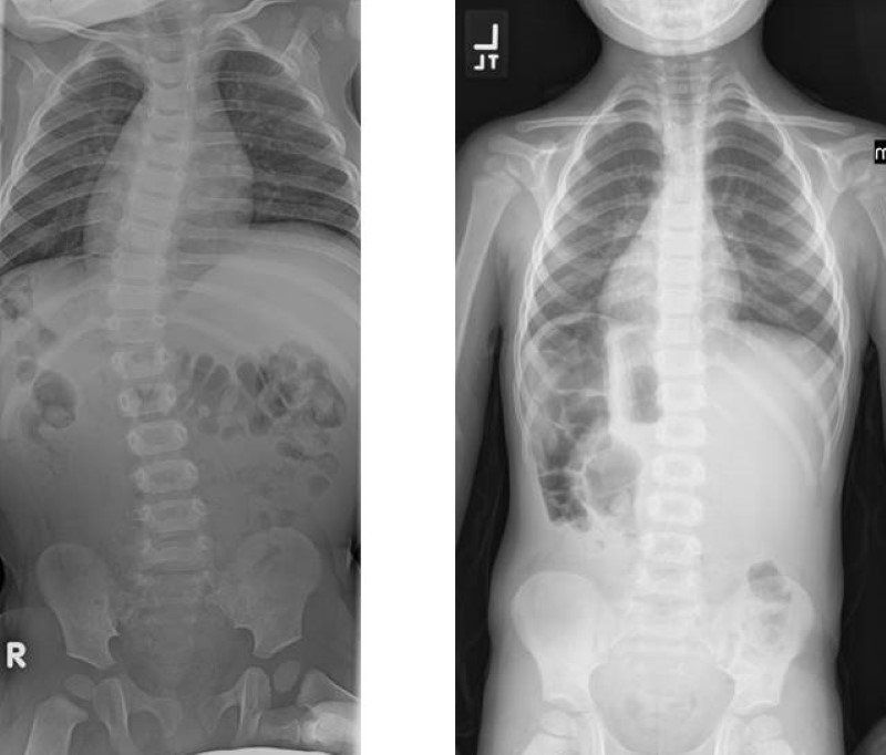
Skolyoz, omurganın göğüs veya bel bölgelerinde görülebilen, yana doğru eğriliğidir. Normal ve sağlıklı omurgada omurlar arkadan bakıldığında yukardan aşağıya yani boyun, sırt ve bel bölgelerinde düz bir hat şeklinde uzanır. Skolyozda ise omurlar sağa veya sola doğru yer değiştirir ve aynı zamanda kendi eksenleri etrafında skolyoz omurga döner.
Omurgaya arkadan bakıldığında eğrilik düz durulduğunda bile fark edilebildiği gibi bazen bu denli net değildir ve ancak öne eğilme durumunda, kontroller ve röntgen filmlerinde anlaşılabilir. Skolyoz genelde ergenliğin başında,çeşitli nedenlerle ortaya çıkmaktadır.
Skolyoz korse fiyatları ve kullanımı;Apeks vertebrası Thorakal ve Lumbal seviyesi altında yer alan skolyoz'larda eğriliğin durdurulması ve düzeltilmesi amacıyla kullanılır. Aksilla (koltuk altı) altından başlar ve Pelvis (kalça bölgesi) içine alır. 3 nokta prensibine göre düzenleyici özelliği vardır,Antirotatik Ve Antilordotik ( sağa ve sola eğikliği önleyici baskı) özellikler taşıyacak şekilde yapılmaktadır.hastadan alçı ölçü alınarak model oluşturulur,Rontgen filmi doğrultusunda model işlenerek Rijit özel plastik materyalden,Alanında deneyimli ortez ve protez teknikerleri tarafından üretilip uygulanmaktadır. Skolyoz Korse fiyatları yapılan malzemenin niteliğine ve korse çeşitine göre değişkenlik göstermektedir,sgk geri ödeme kapsamında ödemesi yapılmaktadır.